嘉宾:应急总医院呼吸与危重症医学科主任,主任医师,周云芝
关键词:肺结节 肺癌 介入技术 咳嗽 危险因素
节目视频链接:https://item.btime.com/56cg93vv5r69olrapfhb79b7rgo
【2025年8月12日播出】2025年8月5日,67岁的王先生因为呼吸困难,被紧急推进了应急总医院的手术室。
经过检查,医生发现在王先生的气管上,长了一个白色的异常组织,当务之急是把他的气道尽快开通,恢复正常呼吸。

这种情况往往需要气管切开或者开胸进行,这台手术却是在影像下通过气管进行。随着周云芝主任的精准操作,堵住王先生气道的苍白色异常组织被瞬间切削脱落,然后顺利取出,王先生转危为安。
那么导致王先生窒息的白色异物到底是什么呢?
更多详情,敬请关注北京卫视《养生堂》播出的《救肺,一步走错都吃亏》。



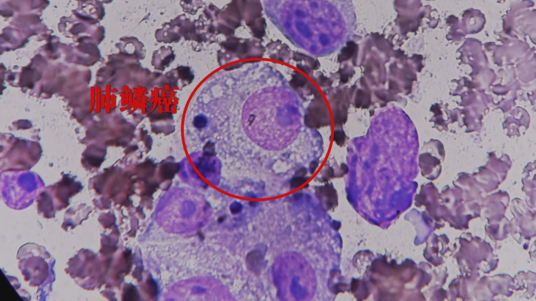
【2025年8月12日播出】通过影像学检查可见王先生气道被肿物挤成“一线天”,丧失80%以上通气功能。这种情况下,一口痰都可能直接堵死呼吸道,或者一个稍大的动作,耗氧量增加,也会让他瞬间缺氧。而通过病理组织涂片,病理科医生在镜下判断出,堵塞王先生气道的正是——肺鳞癌。

哪些肺癌危险因素不得不防?什么样的肺结节必须重视?
更多详情,敬请关注8月12日播出的《救肺,一步走错都吃亏》。更多内容请点击:
https://item.btime.com/56cg93vv5r69olrapfhb79b7rgo


【2025年8月12日播出】患者胡女士和李先生在确诊肺癌之前都出现了咳嗽的症状,胡女士甚至被当成哮喘,那么什么样的咳嗽可能与肺癌有关呢?
中央型肺癌导致的咳嗽通常为刺激性干咳,可能合并声音嘶哑、消瘦或胸痛。起病隐匿,持续时间长,症状也非常顽固,常规治疗无效。发作没有季节性,也没有昼夜规律,还可能与体位有关。
而感染或哮喘引起的咳嗽通常伴随发热、咽痛、喘息,夜间和凌晨以及运动后加重;冬春或者春秋高发,往往与病毒、细菌感染,花粉、尘螨等过敏原相关。
更多详情,敬请关注《养生堂》8月12日播出的《救肺,一步走错都吃亏》。

节目播出期间,北京时间客户端同步进行直播,周云芝主任现场为大家答疑解惑。

【专家出诊时间】
周云芝:周一上午,周三下午专家门诊,周五上午特需门诊。
备注:突发原因导致门诊时间、出诊地点、门诊类型(普通、专家或特需门诊)、挂号费用的改变,请以医院当日公布为准。