4月10日,我院心血管内科经过七个多小时连续奋战,在导管室同事的配合下,首次对三例严重冠脉钙化伴弥漫狭窄的高危患者成功实施了冠脉旋磨手术,术后患者恢复良好,治疗效果十分显著。


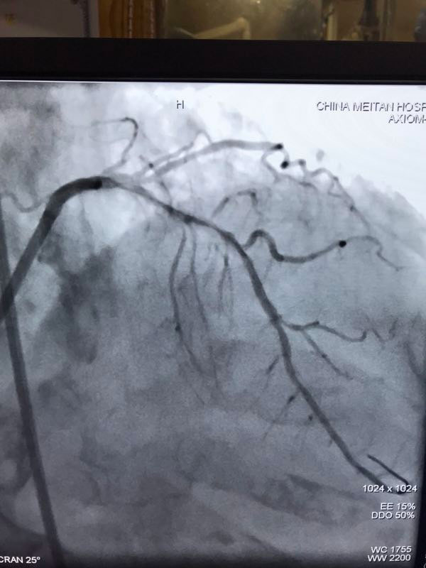
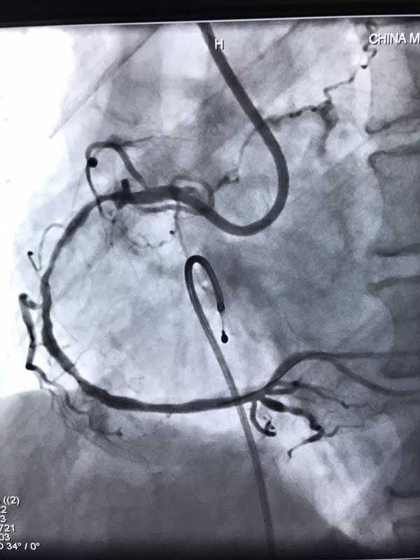
据了解,三位患者都是因严重心绞痛和非ST心梗入院,最高年龄88岁,另两名也有70多岁,是普通PCI难以治疗的危重患者。其中两名已辗转多家医院,均未得到有效救治。患者转入我院后,我院心内科在吴迪主任的带领下,经过周密的准备和科学评估,在血管内超声和临时起搏的辅助指引下,圆满完成了三台旋磨加PCI手术,术后IVUS显示治疗部位支架充分覆盖贴壁,彻底解决了三位患者的病痛,改善了长期预后。


据吴迪主任介绍,冠脉钙化病变和慢性闭塞病变一直是冠心病介入治疗的两大难题,特别是占20%比例的钙化病变,极大的难度风险及高并发症低成功率对心脏介入医生而言是巨大的壁垒和挑战。冠脉旋磨技术作为国家临床二类新技术,就是针对复杂严重钙化病变,通过特制的金刚石探头,在导丝指引氮气加压推进下送入冠脉,借助每秒高达17万转的高速旋转将钙化部位磨平断开,然后借助切割球囊分解斑块,为最终顺利植入支架创造条件。






近年来,我院心血管内科先后开展了血管内超声、FFR测定、逆向CTO技术、药物洗脱球囊等多项临床新技术,均取得了良好的社会效益。本次冠脉旋磨技术的成功开展,将进一步提升心血管内科处理复杂病变的能力和水平,造福更多的心血管危重患者。