作者:范煜东
日前,从应急总医院传出喜讯:心血管内科为一名87岁高龄老人成功植入无导线起搏器,使老人喜获新生。患者家属激动地说:“应急总医院心血管内科技术就是高,让我们放心!”
11月 12 日,应急总医院心血管内科病房收了一名特殊患者,患者87岁高龄,有多种慢性基础疾病,高血压病、陈旧脑梗塞、肺肿瘤等。该患者是因为反复发生晕厥近半年,加重两天入院。
患者入院后多次出现短暂晕厥,心电监护提示反复出现长间歇,最长RR6.08秒。心血管内科医护人员及时发现这个紧急情况,告知家属后已下病重,患者心源性晕厥诊断明确,导致晕厥的原因为缓慢性心律失常引起的心脏停搏。向家属交代病情,患者家属考虑患者可能不完全配合治疗,不同意下临时起搏器,给与异丙肾1ug/min,静脉点滴后效果也不满意,情况紧急。
病情就是命令。目前严重缓慢性心律失常对患者生命造成严重威胁,白天觉醒状态下,一般窦性心律有3秒长间歇就会有黑朦发作,如果超过5秒,就会有短暂意识丧失,就应该行永久起搏器植入,更严重的是,一旦过缓性心律出现长QT间期,就可能导致继发性long-QT综合征,严重时还会导致尖端扭转性室性心动过速,出现复杂的心律失常,甚至心脏性猝死。
患者高龄,有多种慢性疾病,同时不能很好配合手术治疗,传统起搏器植入后还有伤口愈合过程,医护人员与家属充分沟通后,取得家属同意和理解,严密监测心律情况,尽快为患者实施无导线起搏器治疗,该方法创伤更小,术后恢复更快。
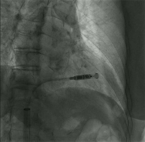
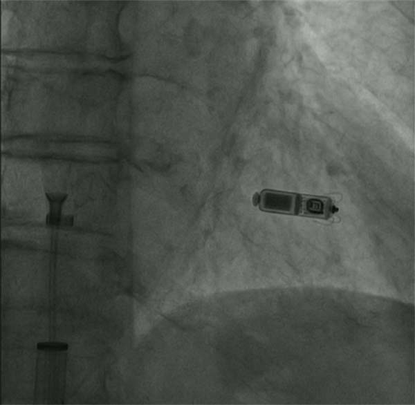
11月15日,心血管内科在导管室为患者实施无导线起搏器治疗,手术取得圆满成功,手术过程顺利,患者术后窦性心律平稳,起搏器起搏感知功能良好。心血管内科凭借精湛的医术和丰富的临床经验,成功挽救了高龄老人的生命,为进一步接受其他治疗打下了良好的基础。
据了解,无导线起搏器俗称胶囊起搏器,就像一粒胶囊药物大小,体积较传统起搏器减少93%,是世界上最小的起搏器,目前我们使用的型号重量只有1.7g,寿命可达13-15年。主要特点是体积小,抗核磁,可以接受1.5T和3.0T全身核磁检查,同时植入方便快捷,经股静脉途径就能完成,术后恢复更快,两天就可恢复日常工作和生活。此例无导线起博器手术的成功实施,标志着应急总医院心血管内科的救治技术迈上了新台阶、实现了新跨越。

起搏器释放前

起搏器释放后

胶囊起搏器模型

实施手术

精细操作

精益求精

手术成功

患者出院