请输入关键字
请输入关键字
【医院动态】应急总医院胸外科:成功实施高难度手术挽救七旬肺癌患者生命
发布时间:2022-04-21 点击数:416 字体:

  近日,应急总医院胸外科在麻醉科、手术室等团队的密切配合下,历经3个多小时成功完成一例肺部巨大肿瘤切除手术,标志着应急总医院胸外科医护团队在胸部疑难手术领域迈上了新的台阶。

微信图片_20220421131356.jpg

微信图片_20220421131358.jpg

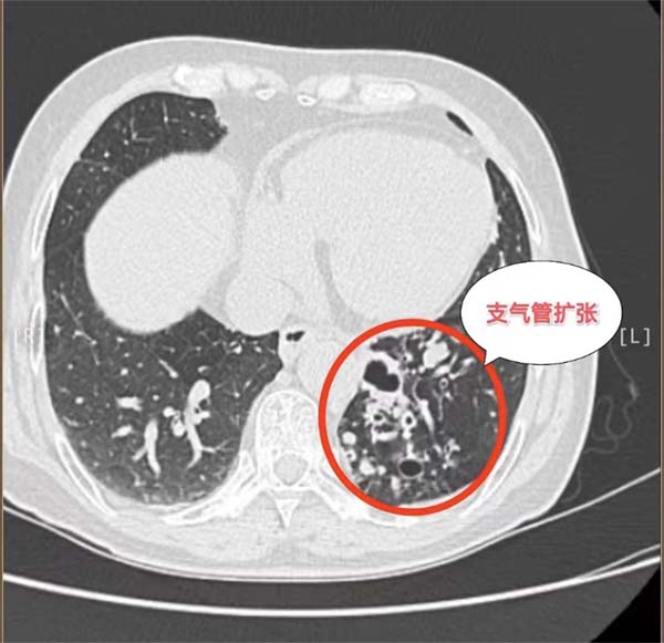
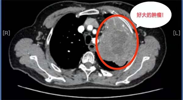
  69岁的杨女士在当地医院不幸确诊为局部晚期肺癌,胸部CT检查发现左肺巨大肿瘤,已经侵犯到左肺门、左肺动脉干根部、纵隔及胸壁。当地医院建议杨女士到北京的大医院治疗。此时,患者一家陷入了极度的恐惧与绝望之中。

微信图片_20220421131400.jpg

查房

  历经波折后求医无果,经多方打探,抱着最后一线希望杨女士和家人来到应急总医院胸外科求诊。胸外科副主任杨龙海博士从事胸外科专业多年,在肺癌方面具有丰富的诊治经验。杨龙海博士凭借丰富的临床经验,结合外院检查结果,排除远处转移,判断患者有手术的机会,且肺癌根治性手术远期效果相对较好,有治愈的可能。然而,肿瘤发现时已局部晚期,肿块巨大,侵犯到了左肺门大血管,侵犯纵隔及胸壁,加上患者伴有20多年的支气管扩张病史,致使患者症状较重,活动后气喘。这些因素导致手术需要切除整个左肺,手术难度及风险极高,切除过程会遇到肿瘤与肺门、纵隔、心包、胸膜等分离困难的难题,如果处理不当,可能出现大出血、循环呼吸衰竭等严重情况,随时危及生命。

微信图片_20220421131402.jpg

手术

  应急总医院胸外科经综合评估后认为患者有手术根治的可能,虽然手术难度高、风险大,但胸外科团队有足够的实力完成这种高难度的手术。为确保患者的安全及手术能顺利进行,杨龙海博士邀请医务处、呼吸与危重症医学科、心内科、麻醉科、胸外肿瘤科、康复科等进行全院多学科术前讨论,为患者“量身打造”了一份个体化的治疗方案。

微信图片_20220421131405.jpg

微信图片_20220421131408.jpg

  经过精心准备,患者于入院的第5天顺利完成了根治性切除手术,虽然手术中,由于瘤体过大压迫心脏,患者一度出现了低血压等紧急情况,但在麻醉科和胸外科等多学科团队的共同努力下转危为安,手术圆满完成。术后患者恢复良好,第二天就能下床活动,术后一周康复出院。

微信图片_20220421131410.jpg

感激

  此例手术对于新成立的胸外科团队是一次巨大的挑战,手术顺利进行得益于术前周密科学部署,术中术后各个环节无缝衔接。经过全体医护人员共同努力,患者对治疗效果十分满意。出院前给科室送了锦旗,对住院期间医护人员无微不至的关怀表示由衷的感谢。

  科室简介

  应急总医院胸外科是医院重点科室之一,著名胸外科专家“国内肺移植第一人”陈静瑜教授担任学科带头人,原中国医学科学院肿瘤医院胸外科副主任、著名胸部肿瘤专家孙克林教授担任技术主任。科室副主任杨龙海博士曾长期在中国医学科学院肿瘤医院及解放军总医院学习工作,在肺癌食管癌等胸部疾病微创治疗及局部晚期胸部肿瘤外科治疗方面积累了丰富的临床经验。胸外科将始终坚持“以病人为中心”的服务理念,采取个体化、规范化的治疗措施,为每位患者提供优质的服务及最佳的治疗方案。

  服务范围及特色技术:

  1、肺癌、食管癌、纵隔肿瘤等以胸腔镜微创外科为主的综合治疗及个体化治疗;

  2、局部晚期肺部、食管、纵隔肿瘤的手术治疗:支气管袖状肺叶切除术、支气管-肺动脉袖状肺叶切除术、气管隆突成形术、结肠或空肠代食管的食管癌根治术、纵隔及胸壁巨大肿瘤切除术等;

  3、尘肺病合并肺大疱、自发性气胸的外科治疗,终末期尘肺病肺移植手术治疗等;

  4、重度胸外伤的救治、肋骨骨折切开复位内固定术,自发性气胸、手汗症、胸壁畸形等微创外科治疗;

  5、终末期肺病、间质性肺纤维化的肺移植手术。

专病专治,精准护航——国医中心七大专病门诊来啦
【医院动态】应急总医院影像科:实用新型专利提高工作效率