2022年是应急总医院转型关键之年,是国家应急医学研究中心各项事业逐步开展的一年,也是各项技术蓬勃发展的一年,紧随医院迅速发展的步伐,心内科超声心动室也在医院大力发展的潮流中多项新技术上线。
应急总医院心内科2022年开展了房颤射频消融术,对于超声心动的要求更高,随即科室开展了四维食道超声检查,目前4月份完成四维食道超声5例,顺利完成心内射频患者的术前评估,左心耳血栓的评估,完成了多例房颤患者术前重要的评估,超声心动还顺利完成ICU患者及术中全麻下患者的食道超声评估,四维食道超声的开展和全麻食道超声的开展,标志着应急总医院超声心动再上新台阶,顺利完成经食道超声心动检查要求所有项目。

熟练操作

解决难题

精心服务

勇于突破
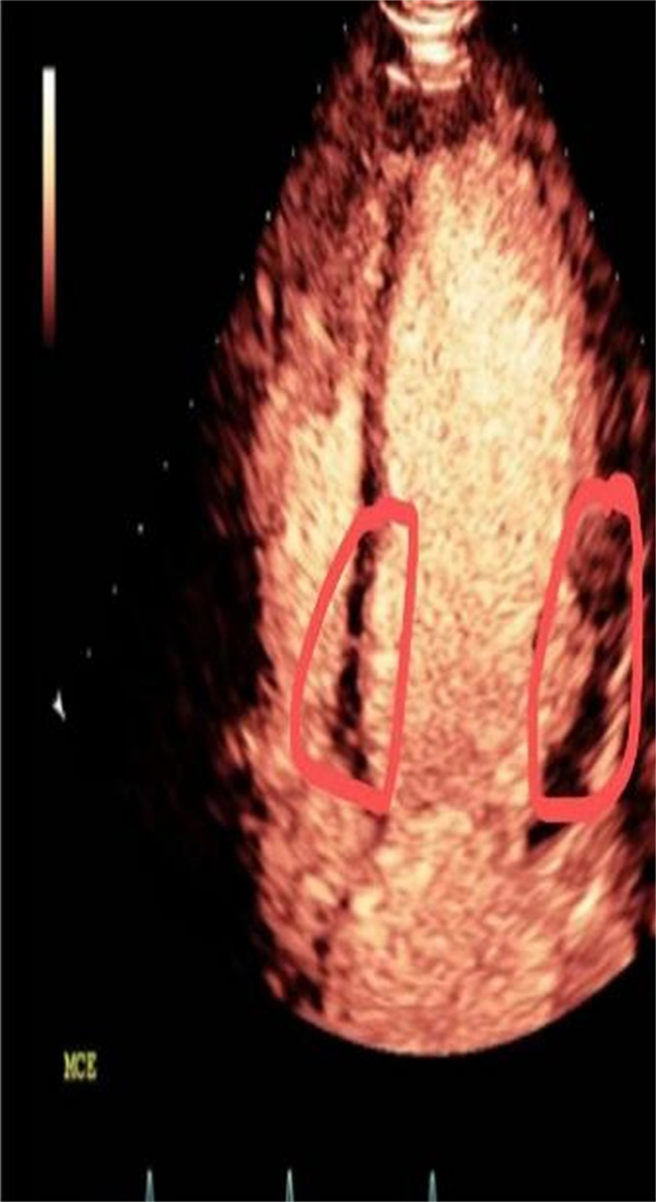
2022年也是超声心动全面发展的一年,2022年1月至今,心内科开展了心脏超声造影,包括左心腔超声造影、左心肌超声造影和右心超声造影,顺利完成了左心室血栓评估、心尖肥厚性心肌病、心肌致密化不全、PCI手术患者术前、术后心肌灌注评估、透析患者心肌的评估。



左心室血栓 心尖肥厚性心肌病,“黑桃”改变PC术后心肌灌注
心脏超声造影通过外周静脉注射超声造影剂(ultrasound contrast agent,UCA),实时动态且更清晰地观察心肌灌注及心腔,反映心脏结构、功能及其冠脉微循环。
定量评价左室容量、射血分数、节段性运动异常(与核素显象、磁共振有良好的相关性),观测心脏内部细微解剖结构(左室心尖肥厚、心肌致密化不全、心尖血栓、心尖室壁瘤),能更清晰的显示左心房的解剖特征,尤其是左心耳,对鉴别血栓、伪像、明显自发显影和左心耳正常解剖结构有很大帮助。

火眼金睛

精益求精
应急总医院超声心动室为心脏超声造影示范科室,作为北京市目前开展心脏超声造影较多科室,先后开展了右心超声造影、左心腔和左心肌超声造影,吸引了众多患者前来就诊,多次受邀参加相关超声造影论坛并发言。超声心动室也是北京市2001年最早开始开展胎儿心脏检查科室,承担了医院周边胎儿心脏筛查,并作为国家母胎合作医疗中心承担胎儿心脏会诊筛查绿色转诊工作。
2022年是心内科超声心动室各项技术全面发展的一年,开展了超声心动领域所有检查项目,包括成人心超、小儿、新生儿心超、胎儿心超、食道四维超声和心脏超声造影,并将继续探索完善新技术项目,保证临床诊断需求,努力为应急医学事业添砖加瓦。