应急总医院心脑血管病中心几乎每天都会面对急危重症和疑难病例,在与死神较量的过程中,医护人员攻坚克难,敢于挑战,练就了过硬的临床本领,积累了丰富的临床经验,下面通过一个病例来见证心血管内科医护人员的本色。
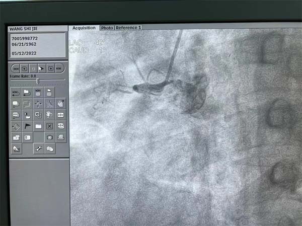
应急总医院心血管内科的疾病经常是突如其来,来势汹涌。一位59岁的男性患者在常规冠脉CT检查中发现右冠状动脉(RCA)有严重的狭窄,同时合并有十二指肠球部溃疡,患者平时没有严重的胸闷胸痛等症状,入院心电图和超声心动图检查也都正常,患者本人对检查结果还有一些意外。吴迪副院长查看该病人冠脉CT后给予了准确判断,患者RCA是完全闭塞(CTO)病变,术前一天根据患者情况制定了术中抗凝抗栓方案,患者进入导管室后实施冠脉造影,果然不出所料:RCA在近端完全闭塞,左冠脉向RCA提供部分侧支循环,RCA闭塞处有部分前向桥侧支,闭塞段超过2cm。闭塞段有部分钙化,远端血管可供登录部分比较细,增加了开通困难。吴迪副院长仔细研判造影图像,并结合冠脉CT图像,评估患者RCA闭塞血管的走形,并充分与患者本人及家属沟通,详细告知病情。

冒险手术

精益求精



病情凶险
CTO病变目前还是冠脉介入治疗的难点,即便最有经验的冠脉介入医生,成功开通CTO病变的成功率也只有80-90%。吴迪副院长审时度势,迎难而上,制定前向开通方案,选择了强支撑的指引导管,在Sion导丝和微导管送至RCA闭塞处近段,逐步升级导丝,精确操控导丝,终于在微导管支撑下,多次突破闭塞处坚硬病变后,Gaia2导丝顺利到达RCA远段真腔,把微导管送至RCA远段后交换成工作导丝,从小球囊到大球囊,逐渐将闭塞病变充分预处理后置入两枚支架,RCA成功再次恢复通畅,血流恢复正常TIMI3级。手术在最短时间结束,患者平稳转至CCU监护病房,患者和家属一直悬着的心终于放了下来。患者激动地说:“心内科团队把80-90%可能变成了100%成功,太棒了!”

亲切看望

专家查房
心内科医生每天面对各种挑战,对患者来说有时候甚至是生与死的关键时刻。吴迪副院长经常这样告诫心内科医生:“要以高度的责任感面对疾病,面对患者,难题面前不能退缩,要勇于挑战,敢于突破,因为救死扶伤是医生的天职。”在今后的道路上,一定还会有更严重更复杂的病人,心内科全体医护人员将始终秉承生命至上、患者至上的服务理念,攻坚克难,拼搏创新,以一流的技术、一流的热情、一流的服务不断攻克疑难病症,不断实现新突破。