家住北京朝阳西坝河社区的张大爷,今年年过七旬,是土生土长的北京人。张大爷已经退休多年,儿女均已成家,他把大部分时间放在了锻炼身体上。血压和血糖都有点高,每天“冒两根”,有时跟老哥们小酌几杯。张大爷心想这没啥,每天两万步,外加几十个俯卧撑,应该百病不侵了吧?这天,他像往常一样,吃过晚饭后,沿西坝河溜了一圈,回家开始汗流颊背地锻炼起来。十几个俯卧撑过后,觉得有点不对劲,胸闷、喘憋得难以继续,以为是练得过猛,但休息10几分钟仍不见好转,张大爷感到不妙,赶紧告诉家人,家人不敢大意,立即来到家门口的北京光熙康复医院就诊。
一到光熙康复医院,门诊大夫开始询问病史,迅速安排心电图检查。接诊的是光熙康复医院心内科付连德主任,心电图一拿到手,付主任便做出了判断——急性心肌梗死,而且是广泛前壁。什么意思?就是心脏三分之一的面积都因为冠脉堵死形成了大范围梗死。情况十分危急,处理不及时随时会出现室颤,严重者会猝死。

付主任深知时间就是生命,时间就是心肌,这种情况需要紧急实施冠脉造影,必要时需进行介入治疗,而光熙医院尚不具备急诊介入的技术条件。怎么办?如果是以前,肯定建议张大爷联系救护车,转运到其他医院实施介入手术,这个过程肯定会耽误很多时间,张大爷分分钟可能会有生命危险。
然而,付主任心里有底,因为前不久,光熙医院与应急总医院签订了“医疗联合体”协议,由应急总医院牵头,由附近几家大型社区医院、二级医院配合,协同保障区域性医疗需求,也就是说,光熙康复医院处理不了的问题,可以第一时间反馈到应急总医院,应急总医院责无旁贷,随时待命,对下级医院进行及时医疗援助与指导,也这是积极响应国家医疗资源合理分配的实际举措。
于是,付主任第一时间联系了应急医院急诊科,同时为了尽快使病人得到诊治,付主任还动用私人关系,电话联系了应急总医院副院长兼心内科主任吴迪教授和心内科副主任范煜东大夫,在看过患者的心电图后,吴迪教授与范大夫建议立即转院。两人不辞辛苦,从家中赶到医院,在介入手术室严阵以待,同时通知急诊为患者开通绿色通道。20分钟后,张大爷在光熙康复医院门诊李涛主任的亲自护送下,由光熙医院转运至应急总医院。

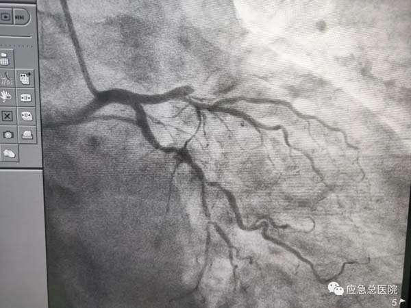
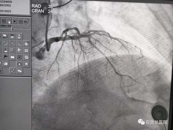
手术前

手术前
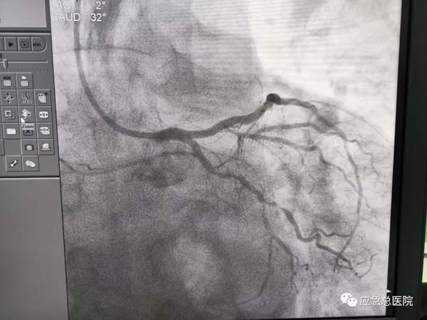
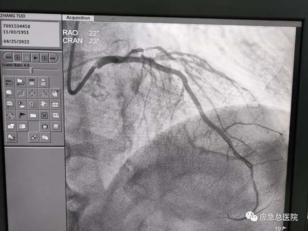
生命在接力。来到应急总医院后,为患者第一时间进行造影检查,结果提示:三支病变,前降支近端100%闭塞,也就是说供应心脏的三条血管均有严重的狭窄,而最主要的血管——前降支已经完全堵死,晚一点救治后果不堪设想。吴迪教授第一时间研判:务必马上开通闭塞血管,一刻都不能耽搁!因为应急总医院有一支经验丰富的介入团队,在吴迪教授的指导下,在范煜东副主任的熟练操作下,在张子龙副主任医师、张庆军主治医师及导管室护士、技师的通力配合下,病人的闭塞血管及时开通,如久旱甘霖般将鲜活的血液重新给濒临坏死的心肌细胞。手术一做完,病人就长舒一口气:“不疼了!舒服了!”在手术室门口焦急守候的家属,此刻喜极而泣。看看时间,从张大爷到光熙医院就诊,再转运到应急医院完成手术,仅用了50分钟。

手术后

手术后
术后,张大爷被转至心脏重症监护室(CCU),在CCU顾菲菲主任医师的精心治疗下,在一支经验丰富的护理团队的精心照顾下,不到3天,张大爷的各项指标和生命体征便趋于平稳,随后转至普通病房进一步治疗。10天过后,来时疼得死去活来的张大爷,此时已安然无恙,在家人的陪同下,开开心心地回家了。
张大爷的经历,也许只是个例,却能反映出个例中的一些共性。急性心梗,极为凶险,发病率逐年升高,且致死率极高,稍有不慎,便会酿成个人和家庭的极大悲剧。因此,急性心梗的及时救治,是中国乃至全球医疗界的一个重大难题。时间就是心肌,时间就是生命。急性心梗发生时,必须争分夺秒进行救治。依托国家对医疗资源合理化分配的大政方针,北京应急总医院率先在北京市牵头组建区域化医联体模式,一带多,多帮一,大力发展“大急诊,大急救”,形成辐射周边、涉及全市的区域医疗联动机制,极大方便了周边居民的就医,也在很大程度上疏解了全市紧张的医疗压力。

(此图来源网络)
时间就是生命
时间就是心肌