北京本轮疫情来势汹涌,这对应急总医院呼吸与危重症医学科是重大考验,众所周知,气管镜手术是该科室全国知名的特色呼吸介入治疗手段,是良恶性气管狭窄、气道瘘患者的救命稻草。但是,新冠病毒的主要传播途径第一位就是呼吸道传播,可气管镜手术是通过患者口腔插入硬镜和软镜进行气道手术,气道处于完全开放状态,这对手术操作的医护人员来说,感染风险大大增加。

执行医嘱

严格防护
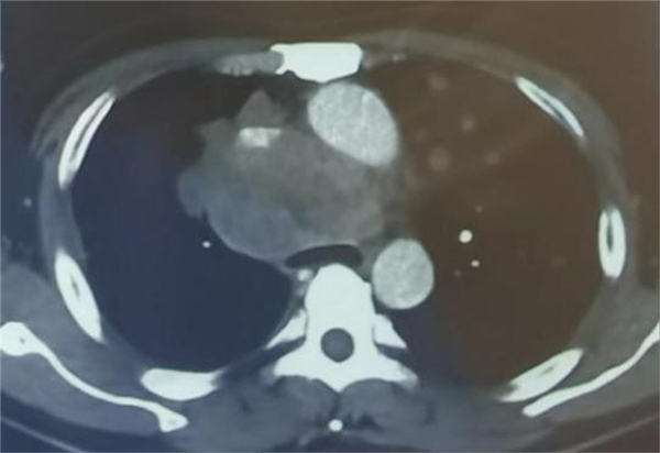
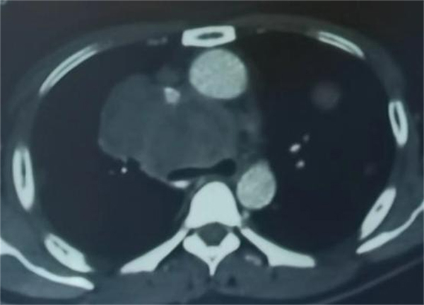
可是,疾病并不会因为疫情来临而退缩,37岁的孙先生患有肝癌,曾经做过肝部分切除术,曾经吃过靶向药物,也做过免疫治疗,但是疾病还是在进展,出现了双肺转移,年轻的孙先生已经备受病痛折磨,可病情仍在加重,出现了憋喘,越来越重,甚至不能平卧,来到应急总医院后,呼吸与危重症医学科医护人员按照防疫流程正常接诊,查胸部CT,发现孙先生的肿瘤压迫气管,气管变窄导致呼吸受阻,需立即手术解除狭窄挽救生命,但是在急诊完善检查,新冠核酸结果还没出来,如果核酸阳性,怎么办?请示周云芝主任,她坚定地说了三个字:“得救命!”这三个字对患者来说是福音!是希望!但对医护团队来说却是重大考验。于是,在院疾控处的协调下,采取最高防护级别,气管镜手术室、麻醉科、手术医生、配台护士、消杀师傅组成了一个有序配合的团队,大家通力合作打响了这台气管镜手术战。

病情棘手

由于占位位于前纵隔,不能平躺麻醉,否则大瘤子就会把气管压迫得更扁更窄,这样无法进行手术。所以只能坐着进行麻醉,然后躺下来,再迅速插入硬质镜,将气管管腔支撑起来,在气管内置入一枚支架,短短25分钟,气管镜室传出喜讯:手术非常成功,患者憋喘症状立刻得到缓解。当患者睁开眼睛那一刹那,家属喜极而泣。看到医护人员站在旁边,患者激动地溢于言表:“谢谢大夫,给了我第二次生命,谢谢!”

实施手术

精心操作
从患者接诊到检查,再到手术,只用了1个多小时,在相关科室的密切配合下,周云芝主任率团队凭借精湛的医术、丰富的临床经验,成功挽救了一位年轻小伙的生命。

成功获救

在这个夹杂着疫情的寒冬,应急总医院周云芝主任团队始终坚守生命至上、患者至上的铮铮誓言,像灯塔一样,在汪洋大海中给患者及家人带来光明、带来希望,照亮他们前行的航向,去迎接人生的曙光。
来源:呼吸与危重症医学科
作者:郑敏
审核:周云芝
监制:彭雪征
编辑:莫鹏