曹大夫
多亏您救了我们家老唐一命
太感谢您了
2月27日下午6时左右
患者唐先生的妻子紧握着
应急总医院急诊科
曹守冬副主任医师的
手格外激动
然而
你知道吗
就在几天前
唐先生因为一时大意
差点失去性命

幸运的是
经过曹大夫和急诊医护人员
全力救治
患者最终转危为安
点赞急诊科
这位患者今年58岁,因咳痰一周,发热伴喘憋一天,于2月24日上午就诊于应急总医院急诊内科。虽然患者年龄不大,但平时基础病多,有高血压病、冠心病、2型糖尿病、糖尿病肾病伴尿毒症,每周三次在应急总医院透析中心进行透析治疗。经过查体并结合患者化验、检查结果,初步诊断:重症肺炎、1型呼吸衰竭、冠心病、心功能不全、高血压病、代谢性酸中毒。患者间断发热,体温38.1°C。经过积极治疗两天后,患者各项症状明显缓解,体温恢复正常,多次测量保持在36.4°C左右。

护送患者去导管室手术
急诊留院治疗观察三天后,早晨查房时,患者感觉病情明显好转并与妻子商议后决定:今日结束床旁血滤后离院回家。曹守冬副主任医师查看病人后,患者生命体征除了心率95次/分偏快以外,其他各项指标包括体温、血压、呼吸频率及氧饱和度均正常。
凭借多年丰富的急诊工作经验,曹大夫认为:这位患者虽然病情好转,但也不能掉以轻心,暂时不能出院,仍需密切观察。他又认真、仔细地查阅了患者入院以来所有化验及胸部CT、心脏彩超等检查结果,发现患者3次“心梗三项”化验结果呈现好转趋势,但肌钙蛋白I(诊断急性心肌梗死的特异性指标)由1.80ng/ml下降至1.48ng/ml,就在前一天晚上8时左右,进一步下降至0.52ng/ml。考虑到患者存在尿毒症,加之重症肺炎感染的影响,都可能导致肌钙蛋白I轻度升高。但曹大夫看到患者心电图提示广泛性心肌严重缺血表现,结合既往2型糖尿病、尿毒症、高血压病的病史,该患者极有可能会出现急性心肌梗死,但临床表现却不甚典型。如果单纯靠患者症状做出判断,极易出现误诊或漏诊情况,需要进一步复查“心梗三项”了解病情变化。

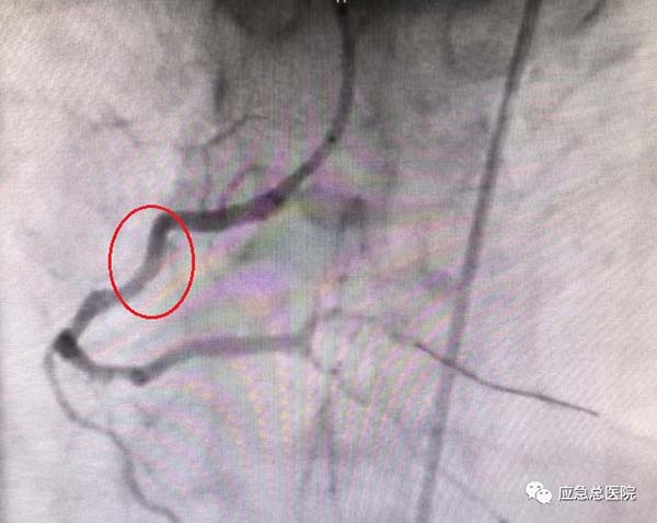
介入手术前

介入手术后
经过与患者及家属耐心、细致地沟通后,家属同意给予患者抽血复查相关指标。果然不出曹大夫所料,“心梗三项”结果提示肌钙蛋白I飙升至8.40ng/ml(正常值0.010-0.023ng/ml),诊断为急性非ST段抬高型心肌梗死,曹大夫立即请示缪国斌主任,缪主任指示急诊科医护团队立刻做好急诊介入治疗相关术前准备,并通知导管介入团队尽快对接。
考虑到患者基础病多,病情复杂,治疗棘手,经过综合分析研判后,导管室范煜东主任率团队为患者实施手术。

曹大夫与患者留影
40分钟后,成功为患者植入两枚冠脉支架,迅速开通了冠脉循环,挽救了患者的心肌,为其康复后顺利出院奠定了坚实的基础。其精湛的医术、认真负责的精神、及时的救治,让患者和家人由衷称赞。于是便出现了文中开头的一幕。
通过这个病例,充分体现了应急总医院急诊科团队“及时、精准、高效”的服务理念。在此,要告诫患者朋友,急性心肌梗死病情危重,救治时间窗窄,病死率高。如果出现胸闷、胸痛、心悸、喘憋等不适症状,应尽快就近医院就诊。若当时检查没有阳性发现,不要误认为正常而擅自离院,应该至少留院观察4—6个小时,再次复查心电图及心肌酶学指标,检查结果一切正常,经医生同意后方可离院,真正确保生命安全。

急诊科医护团队

科普一下
在临床工作中,患者的临床症状,心电图和实验室检查是诊断急性心肌梗死(AMI)的三大依据。虽然心电图是临床医生确诊AMI的重要依据,但有时也需要同时结合实验室检测结果,其中心肌酶谱检测具有重要的临床应用价值。
“心梗三项”指的是肌钙蛋白、肌红蛋白和肌酸激酶同工酶。因为这三种酶谱主要存在于心肌细胞内,只要升高就说明心肌细胞受到损伤。急性心肌梗死发生时,这三个指标变化最明显,而且有动态变化,所以将这三个指标称为“心梗三项”,是目前公认的心肌损伤标志物,在诊断心肌梗死、评价溶栓治疗效果、再梗死或梗死范围及危险程度具有重要意义。实际上只要是心肌细胞受到损伤,不单纯是心梗,心肌炎同样会有这三个指标的升高。急性心肌梗死患者胸痛发作时由于冠脉阻塞,心肌广泛而持久缺氧缺血,由此而导致的心肌损伤严重,急性心肌梗死患者血液中心肌酶普遍升高。“心梗三项”中,特异性最强的是肌钙蛋白。心肌钙蛋白由三个亚单位组成:肌钙蛋白I(cTnI)、肌钙蛋白T(cTnT)和肌钙蛋白C(cTnC),其中cTnI和cTnT的临床应用价值相同,都是心肌损伤的敏感特异性指标,cTnI比cTnT更具有特异性。
这三项指标会随着心肌损伤发生的时间而动态变化,肌红蛋白在心梗后上升最快,心梗后1-2个小时升高,24小时降为正常。早期可用于检测患者是否患有心梗,但特异性不高;肌酸激酶同工酶(CKMB)在4-6小时开始升高,12-24小时达到高峰,2-3天后降为正常,但特异性较低;肌钙蛋白(TnI或TnT):TnI在3-4小时开始升高,维持时间较长,可持续7-10天或10-14天。特异性较高,持续时间较长,一旦检测到TnI升高就表明心肌有坏死迹象。所以,无论是医生,还是患者,一定要高度警惕,千万不能麻痹大意。
来源:急诊科
作者:曹守冬
审核:缪国斌
主办 融媒体中心
监制 彭雪征
责编 莫 鹏