影视剧中经常见到咯血的场景,大家首先想到的是“肺结核”、“肺癌”,可能没听说过气道内会长“石头”?近日,应急总医院呼吸与危重症医学科收治的一名患者陈先生,却受此困扰长达11年之久。
究竟是怎么回事呢?

陈先生的既往病史
2011年10月,陈先生无明显诱因突发咯血,为鲜红色,约3-4口/天,就诊于北京某医院,肺部CT提示右肺下叶背段支气管壁增厚、局部钙化。先后进行两次气管镜检查,镜下见右下肺基底段出血,内基底段管腔内可见白色钙化物,术中钳取钙化物1块,未能完全取干净。
气道内出现了石头,还没取干净,以后会不会再次咯血呢?这块石头就此成为陈先生的“心头病”。
果不其然,2015年陈先生再次出现反复咯血,就诊于外地医院,胸部增强CT显示:右下肺门结节,其内可见坏死灶。进行气管镜检查可见右下叶内基底段一亚段支气管较多脓性分泌物,该处管腔狭窄伴白色质硬结石样物,抗感染治疗后患者虽然咯血症状好转,但“石头”又现身了,而且还变大了。
如何才能彻底除根呢?陈先生和家人寝食难安。

陈先生四处求医,希望渺茫
11年过去了,会不会存在这样的事情?气道内的“石头”自己跑出来,以后不再咯血了呢?侥幸的事情并没有发生,2022年10月13日,陈先生再次出现咯血,持续十余天没有缓解,导致病情逐渐加重。先后就诊于3家权威医院,希望能将“石头”取出,由于气道内手术风险极高,大夫们都是望而却步。
同年10月31日再次进行气管镜检查,提示右肺下叶内基底段前支远端支气管内可见一白色钙化物,取石术中出血量较大,紧急进行支气管动脉栓塞治疗。术后仍咯血10天,每日10毫升左右。真是一波未平,一波又起。
因右肺下叶支气管内结石还未取出,随时可能再次出现咯血,且结石较前几年增大,外露支气管壁外,大咯血风险很高。
“我的病真的没救了吗?北京这么多大医院和大专家都没有办法吗?”陈先生一家陷入了绝境。
走投无路之际,经多方打听及医学界人士推荐,陈先生怀揣忐忑的心情慕名来到了应急总医院呼吸与危重症医学科主任周云芝教授的专家门诊,周云芝认真阅读了患者的CT片,了解患者漫长的病史及坎坷的经历,与其充分沟通病情后,语气坚定地说:马上办理住院,我们尽最大努力帮你取出石头。

“周主任,我们专程是来找你的,你就是我的救星啊!“听了周云芝这番话,犹如在黑暗中看到一丝曙光,陈先生一家紧悬的心瞬间放松。在周云芝的亲自安排下,患者当天住进了呼吸与危重症医学科。
短短20分钟,石头从气道内顺利取出
如快速有效将“石头”一次性完全取出?如何战胜术中的一切风险和难题?

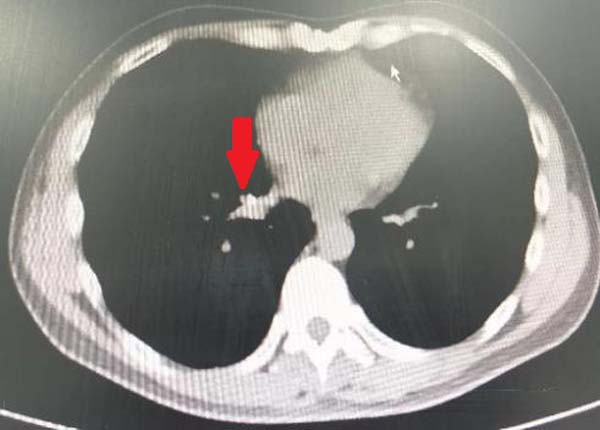
图1.胸部CT显示右肺下叶内基底段支气管结石影
周云芝带领团队反复阅读片子,认真分析结石位置与周围血管的关系,设计了取石方案,制定术中风险预案,同时在术前对陈先生进行了耐心的病情沟通及详细的手术讲解,给予了陈先生莫大的勇气及信心。
手术有条不紊地进行着,患者家属在手术室外默默地祈祷。
按照术前制定的方案,周云芝像一位指挥若定的将军,带领团队精细操作,由于经验丰富,技术精湛,配合默契,每一个动作都炉火纯青,术中超细支气管镜下显示:右肺下叶内基底段前支可见一黄色结石阻塞管腔,周云芝应用圈套器套取及活检钳迅速将结石取出。

图2.气管镜下右肺下叶内基底段前支可见一黄色结石,并阻塞气道管腔

短短20分钟,手术取得圆满成功。麻醉醒来后,第一眼看到周云芝面带微笑站在手术台前,患者激动不已:”周主任,你是我的救命恩人啊,谢谢,谢谢!“

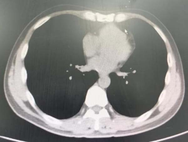
图3.胸部CT显示右肺下叶内基底段支气管结石影已消失

图4.气管镜下右肺下叶内基底段前支结石影已消失
为检验手术效果,一周后,患者来到医院复查,胸部CT显示:气道内的石头消失得无影无踪。为表达救命之恩,患者特意送来一面锦旗,感激周云芝主任团队的高超医术及大医精神。

感激之情
据周云芝主任介绍,这名患者的石头位于亚段支气管,要想将石头顺利取出,可以说是”老虎吃天,无处下牙!“实施这种气道内的取石手术,对麻醉技术、临床经验、取石方式、操作技巧、团队配合等都是极大的挑战和考验,而应急总医院呼吸与危重症医学科拥有一流的设备、一流的团队、一流的技术,为上万名气道异物、气道狭窄、气道肿瘤患者解除了病痛,其临床技术实力、学术影响力得到业内和患者高度称赞。

呼吸介入治疗团队

介入手术

介入手术

科室交班
来源:呼吸与危重症医学科
作者 :付怀秀、高永平
审核 :周云芝
主办 融媒体中心
监制 彭雪征
责编 莫 鹏